
What is Advanced Radiotherapy?
Advanced radiotherapy is a range of state-of-the-art techniques revolutionising radiation oncology. These advancements not only enhance the precision and efficacy of cancer treatment but also work to minimise adverse effects, significantly improving outcomes for patients undergoing radiotherapy treatment. Two prominent techniques within this field are Volumetric Modulated Arc Therapy (VMAT) and Stereotactic Body Radiation Therapy (SBRT).
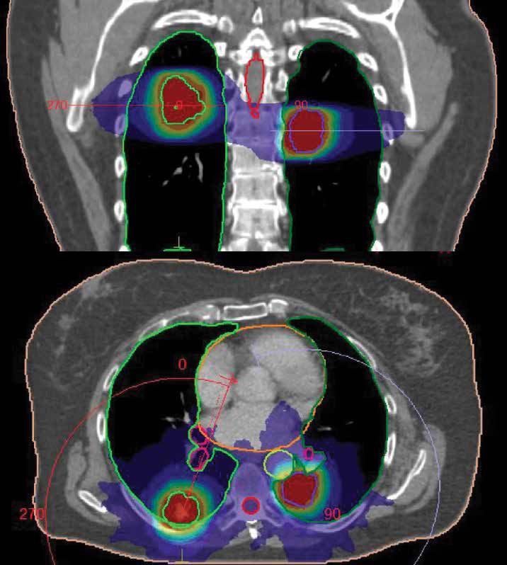
What is VMAT?
VMAT is an advanced radiation therapy approach that leverages the rotating capability of the LINAC (linear accelerator) machine to deliver radiation with exceptional precision and significantly shorter treatment times. VMAT is employed effectively in the management of various cancer types, including brain, breast, cervical, colorectal, oesophageal, lung, and nasopharyngeal cancer.

How Does VMAT Work?
VMAT combines rotational and modulated techniques. As the LINAC gantry rotates around the patient, the radiation beam's shape and intensity are continuously adjusted to match the tumour's contours. This dynamic modulation ensures that the optimal radiation dose is delivered to the tumour while minimising exposure to healthy tissues, making VMAT more precise and targeted than conventional approaches.
What is SBRT?
Now, let’s delve into Stereotactic Body Radiation Therapy (SBRT), another cutting-edge technique that takes precision to new heights. SBRT offers a unique approach for targeting localised tumours with exceptional accuracy and eciency, resulting in fewer side effects and a reduced number of treatment sessions.
How Does SBRT Work?
SBRT delivers highly focused and potent radiation doses to the tumour site with remarkable precision. This advanced approach involves sub-millimetre accuracy, enabling the delivery of intense radiation within a short timeframe, typically spanning just a few sessions over one to two weeks. This is in stark contrast to the extended daily external beam radiation treatment that spans several weeks.

Key Differences Between VMAT and SBRT
While both VMAT and SBRT are valuable radiation therapy techniques, they differ significantly in various aspects.
Tumour Size and Location
Can be used for tumours of various sizes and locations throughout the body.
Suitable for small and well-localised tumours located in critical or challenging areas, such as the lungs, liver, or spine.
Fractionation
VMAT can be used with conventional fractionation (15 to 35 fractions) or hypofractionation, depending on the clinical scenario and the prescribed dose.
SBRT is characterised by hypofractionation, where the total prescribed dose is delivered in a small number of fractions (typically 1 to 5 fractions).
Dose Delivery
Administers radiation in smaller, more controlled doses during each session.
Delivers very high doses of radiation in each session.
As technology advances, VMAT and SBRT stand as beacons of hope for cancer patients. Their precision, reduced side effects and improved outcomes mark significant milestones in the fight against cancer, offering patients not just treatment, but a chance at a better quality of life.
Meet Our Specialists
Dr Farhana Fadzli
Consultant Breast Radiologist & Nuclear Medicine Specialist
Dr Maninderpal Kaur
Consultant Breast Radiologist
Dr Basri Johan Jeet Abdullah
Consultant Radiologist & Interventional Radiologist
Dr Emily Mah
Consultant Radiologist